CABINET DENTAIRE DU DOCTEUR MICHEL DI-ROCCO
Omnipratique ♦ Implantologie ♦ Esthétique ♦ Parodontologie
Accueil
Cabinet
Plan d'accès
Fiches conseils
Nos vidéos
Contact
Votre Avis Google
41 RUE LOUIS ASTRUC, 13005 Marseille
+33 4 95 08 92 51
CABINET DENTAIRE DU DOCTEUR MICHEL DI-ROCCO
Omnipratique ♦ Implantologie ♦ Esthétique ♦ Parodontologie
Accueil
Cabinet
Plan d'accès
Fiches conseils
Nos vidéos
Contact
Votre Avis Google
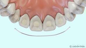
Fil de contention
Vidéos 3D
Partager
Twitter
Partager
Partager
Envoyer
Copier
Politique de confidentialité et charte cookie
Mentions légales
Conditions Générales Utilisation
41 RUE LOUIS ASTRUC
13005
Marseille
+33495089251
Rechercher dans le blog Blog
Création par
Connexion
Vidéo en cours de lecture