CABINET DENTAIRE DU DOCTEUR MICHEL DI-ROCCO
Omnipratique ♦ Implantologie ♦ Esthétique ♦ Parodontologie
Accueil
Cabinet
Plan d'accès
Fiches conseils
Nos vidéos
Contact
Votre Avis Google
41 RUE LOUIS ASTRUC, 13005 Marseille
+33 4 95 08 92 51
CABINET DENTAIRE DU DOCTEUR MICHEL DI-ROCCO
Omnipratique ♦ Implantologie ♦ Esthétique ♦ Parodontologie
Accueil
Cabinet
Plan d'accès
Fiches conseils
Nos vidéos
Contact
Votre Avis Google
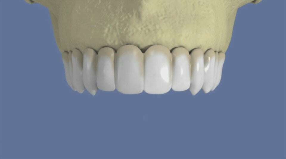
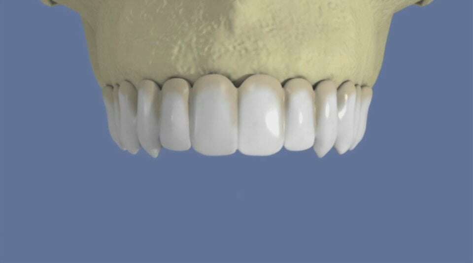
Maxillaire : bridge vissé sans fausse gencive
Vidéos 3D
Partager
Twitter
Partager
Partager
Envoyer
Copier
Politique de confidentialité et charte cookie
Mentions légales
Conditions Générales Utilisation
41 RUE LOUIS ASTRUC
13005
Marseille
+33495089251
Rechercher dans le blog Blog
Création par
Connexion
Vidéo en cours de lecture